1. ĐẠI CƯƠNG
Các khối u vùng mắt rất hiếm gặp nhưng được đặc biệt quan tâm trong xạ trị ung thư. Dù cả phẫu thuật và hóa trị có những bước tiến trong điều trị nhóm bệnh này, xạ trị vẫn là một phần được xem xét trong chiến lược điều trị.
2. CHỈ ĐỊNH
- Di căn đến màng mạch máu (hoặc màng bồ đào) hay gặp từ vú, phổi hoặc các khối u đường tiêu hóa thường có chỉ định xạ trị giảm nhẹ.
- U hắc tố màng mạch (choroidal melanoma)
- U nguyên bào võng mạc (Retinoblastoma)
- U lympho vùng kết mạc
3. CHUẨN BỊ
3.1. Người bệnh
- Người bệnh và gia đình người bệnh phải được giải thích rõ về những lợi ích, cũng như những nguy cơ có thể xảy ra của xạ trị, để phối hợp thực hiện.
- Người bệnh phải thoải mái, tự nguyện điều trị tia xạ.
- Người bệnh được điều trị chống phù não, bằng thuốc corticoid và các dung dịch ưu trương trước khi tia xạ 48 h
3.2. Phương tiện
- Hệ thống trang thiết bị, cố định, làm khuôn, mặt nạ nhiệt.
- Hệ thống CT mô phỏng, lập kế hoạch điều trị.
- Hệ thống tính liều TPS (Treatment planning system).
- Hệ thống máy xạ trị.
3.3. Người thực hiện
- Bác sỹ xạ trị ung thư.
- Kỹ sư vật lý xạ trị.
- Kỹ thuật viên xạ trị
4. CÁC BƯỚC TIẾN HÀNH
4.1. Xác định thể tích bia
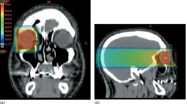
Các chùm tia khi xạ trị giảm nhẹ cho di căn màng mạch có thể xác định được trong mô phỏng. Trường chiếu 4x4 cm đánh dấu trên bề mặt với biên độ trước ở ngoài khóe mắt và tâm trường chiếu ở đồng tử. Trường chiếu chếch về phía sau 5° để tránh hoàn toàn thấu kính ở mắt đối bên. Xem xét phân bố liều lượng theo Dmax hoặc độ sâu của tổn thương di căn trên chẩn đoán hình ảnh.

Xạ trị giảm nhẹ cho di căn tại màng mạch.
a. Vị trí tổn thương (đầu mũi tên)
b. Phân bố liều lượng trên trường chiếu chếch 5o về phía sau
Một cách khác là sử dụng một chùm tia thẳng trước 4 x 4 cm tập trung vào đồng tử và tia khi mắt mở để giảm thiểu liều vào thấu kính. Để điều trị di căn màng mạch hai bên, sử dụng chùm tia đối xứng, và một trường chếch 5° về phía sau.
Có thể sử dụng chùm tia thẳng trước, trực tiếp, để điều trị u lympho kết mạc. Nếu u lympho chỉ giới hạn ở kết mạc, có thể chỉ định chùm điện tử hoặc các photon orthovoltage (200-500 kV). Nếu chẩn đoán hình ảnh cho thấy khối u lan tới sau nhãn cầu, nên sử dụng có các photon năng lượng cao (hình dưới)

Chùm tia photon với mức năng lượng 6 MV cho lympho vùng kết mạc
4.2. Phân liều
4.2.1. Di căn màng mạch
20Gy trong 5 phân liều với 4Gy/ngày.
4.2.2. U lympho vùng kết mạc
30Gy trong 15 phân liều.
4.2.3. U lympho ổ mắt
40Gy trong 20 phân liều (nếu không có hóa trị).
30-36Gy trong 15-18 phân liều sau khi hóa trị tùy thuộc vào đáp ứng với hóa chất.
5. THEO DÕI VÀ XỬ TRÍ TAI BIẾN
5.1. Theo dõi
Tình trạng viêm tại chỗ
5.2. Xử trí
Chăm sóc giảm nhẹ, thuốc chống viêm, kháng sinh (nếu cần)
- Đăng nhập để gửi ý kiến